Как невидимый налет разрушает вашу улыбку: опасности мягкого зубного налета

Как невидимый налет разрушает вашу улыбку: опасности мягкого зубного налета

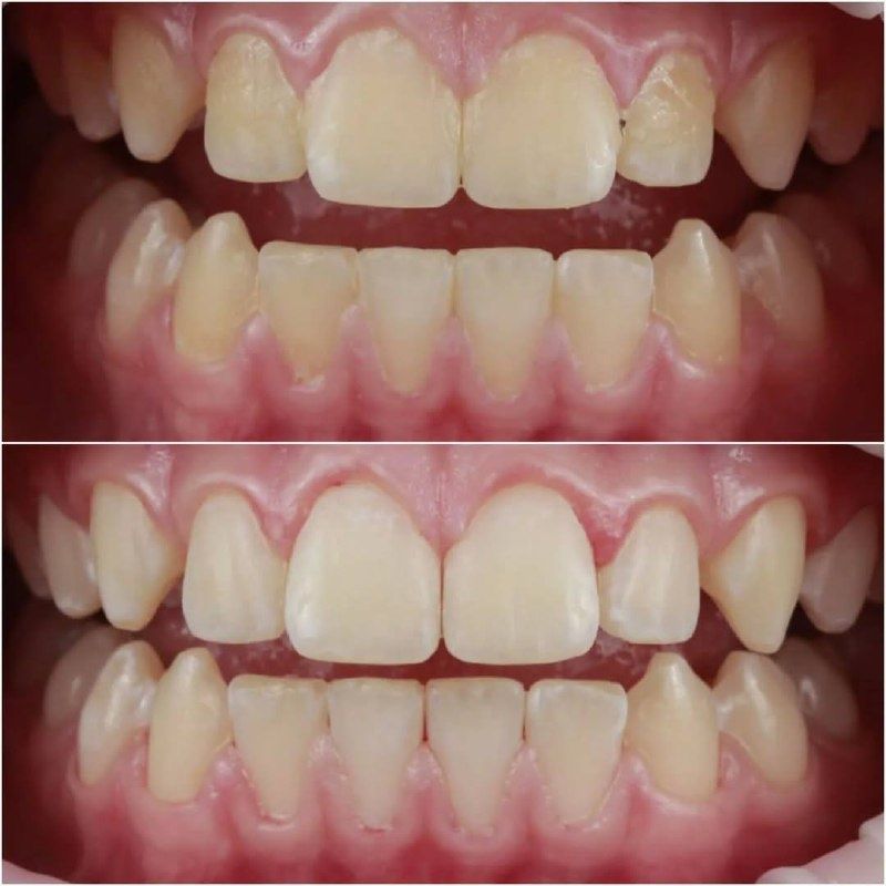
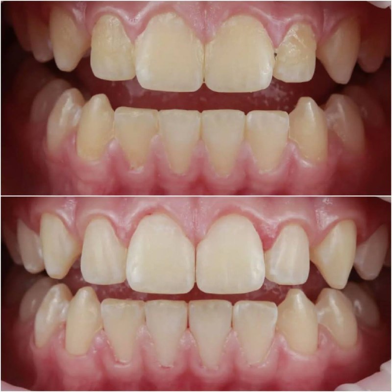
Мягкий зубной налет может показаться незначительной проблемой, но не стоит недооценивать его влияние на здоровье полости рта. В отличие от зубного камня, который можно легко заметить, мягкий налет часто остается незамеченным, однако именно он таит в себе множество угроз для зубов и десен.

Опасные микробы в мягком налете

Скрытый в мягком налете скрывается целая армия патогенных микробов. Эти микроорганизмы активно производят кислоты, которые разрушают зубную эмаль, ведя к деминерализации и, в конечном итоге, к образованию кариесов. Если не принимать мер, это может стать серьезной проблемой, затрагивающей не только здоровье зубов, но и общее самочувствие человека.

Значение хорошей гигиены полости рта

Для борьбы с мягким налетом крайне важно соблюдать привычки ежедневной гигиены. Основные меры:

  • Регулярная чистка зубов дважды в день.
  • Использование зубной нити для удаления остатков пищи между зубами.
  • Применение ополаскивателей для дополнительной защиты зубов.

Эти простые действия помогут минимизировать влияние мягкого налета и защитить ваши зубы от неприятных последствий.

Профессиональная помощь и индивидуальный подход

Для достижения наилучших результатов рекомендуется периодически обращаться к специалистам, таким как врач-гигиенист. Профессиональная чистка полости рта поможет избавиться от накопившегося налета, а также получить рекомендации, ориентированные на индивидуальные особенности зубного ряда. Специалист подберет правильные средства и методики ухода, что позволит избежать проблем в будущем и обеспечить здоровье вашей улыбки.

Источник: Иннова Клиник

Лента новостей