Проблема налета на зубах: важные нюансы

Проблема налета на зубах: важные нюансы

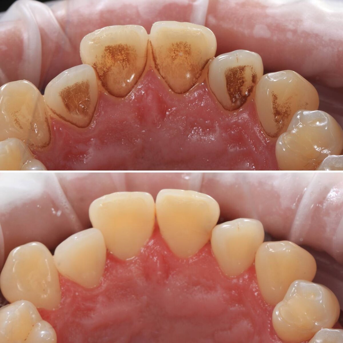
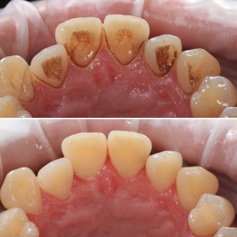
Появление желтого или темного налета на зубах часто является следствием плохой гигиены ротовой полости. Такие привычки, как употребление чая, кофе, курение или частое поедание яркой пищи, способствуют нежелательному окрашиванию эмали. Со временем на зубах скапливаются пигменты, которые трудно удалить простым мытьем.

Почему налет образуется?

При недостаточной или неправильной чистке зубов налет может остаться даже после тщательных процедур. Особенно это касается труднодоступных мест: внутренние поверхности зубов, трещины и темные ямки могут накапливать загрязняющие вещества. С течением времени это может привести к образованию зубного камня и другим стоматологическим проблемам.

Факторы, способствующие образованию налета

  • Употребление красящей пищи: продукты с яркими пигментами, такие как свекла, морковь или ягодные соки, являются идеальными «партнерами» для налета, так как их пигменты легко проникают в пористую поверхность зубной эмали.
  • Плохая гигиена: недостаточная чистка зубов и использование некачественной зубной пасты могут привести к усиленному накоплению налета.

Как сохранить здоровье и блеск зубов?

Лучший способ избежать образования налета – это правильно и регулярно заботиться о своей гигиене полости рта. Использование качественной зубной пасты и регулярные осмотры у стоматолога помогут сохранить зубы в хорошем состоянии. Профессиональная чистка зубов рекомендуется хотя бы раз в полгода, чтобы минимизировать рискDentalProblems.

Отличным решением будет также консультация с опытным стоматологом, который поможет определить индивидуальный план ухода за полостью рта. Для записи на консультацию можно связаться по телефону или через онлайн-чат на сайте.

Источник: Иннова Клиник

Лента новостей